Imaging Insights Blog by SVS

Quality Visionaries in Veterinary Imaging

Join Our Imaging Community Today

Stay ahead in the world of veterinary imaging. Sign up now for exclusive insights, expert tips, and the latest updates in the field

The Ureter in Veterinary Ultrasound: A Closer Look at Muscle Contraction and Urine Transport

1 min read

The Ureter in Veterinary Ultrasound: A Closer Look at Muscle Contraction and Urine Transport

In veterinary medicine, understanding the complexities of an animal’s urinary system is vital for both diagnosis and treatment. One of the key components often overlooked is the ureter, which plays a critical role in transporting urine from the...

Read More

1 min read

The Importance of Echocardiograms for Heart Health in Pets

Heart disease is a silent threat that affects a significant percentage of dogs and cats, yet it often goes undetected until it’s too late. As...

Read More
Ultrasound Tips: How to Stop Blood Dilution  in FNA Samples

1 min read

Top Tip for Fine Needle Aspirates: Reduce Blood Contamination

Fine needle aspirates (FNAs) are a cornerstone diagnostic tool in veterinary medicine, but one common frustration is blood contamination in the...

Read More

1 min read

Tips for Safe Sedation: Anesthetic Challenges in Older Cats

Welcome to our new series, Cocktail Hour with Dr. Tom Day! This engaging roundtable discussion features veterinary experts tackling real-world...

Read More
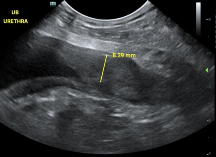
Canine urethra visualized on ultrasound

1 min read

The Importance of Urethral Imaging in Bladder Ultrasound: A Case Study and Practical Techniques

When performing bladder ultrasounds, it's easy to focus primarily on sagittal and transverse views. However, the urethra is a critical area where...

Read More

1 min read

Radiographic Features of Colonic Torsion in Dogs

In this blog post, we’ll walk through the hallmark radiographic features of colonic torsion in dogs and why early diagnosis is essential for...

Read More

1 min read

Canine Thoracic Mass Findings and Review With Boarded Radiologist

In today's video, we meet a 13-year-old male neutered border collie mix who has been dealing with chronic coughing and a noticeable decrease in...

Read More