1 min read
10 Hacks for Veterinary Radiographic Positioning
Help Improve Your Technique and Obtain Optimal Radiographic Images Perfecting the art of veterinary radiographic positioning is crucial for obtaining...
2 min read
Fred Gromalak, DVM
:
Nov 26, 2025 11:24:43 AM
When it comes to submitting images for teleradiology interpretation, one of the most common issues we encounter is the use of JPEGs instead of DICOM files. While JPEGs may seem convenient, they lack the critical detail and diagnostic utility that DICOM files provide.
For accurate, timely, and reliable veterinary imaging interpretations—DICOM is not optional; it’s essential.
DICOM (Digital Imaging and Communications in Medicine) is the international standard for storing, transmitting, and viewing medical images. Nearly all modern veterinary digital radiography (DR), ultrasound, and PACS systems capture images in this format by default, using the .dcm file extension.
A DICOM file contains much more than just an image. It embeds:
Patient information
Study and acquisition details
Imaging parameters
Orientation markers
Calibration data for accurate measurements
Annotations and notes
In other words, a DICOM file enables radiologists to analyze images the way they were intended to be used, with full diagnostic context.
If you're using a digital x-ray machine or PACs system, chances are it's already capturing images in DICOM format (file extension .dcm). But sometimes, those files are accidentally exported or saved as JPEGs, either due to system settings, workflow habits, or file size convenience.
| Feature / Capability | DICOM (.dcm) |
JPEG (.jpg/.jpeg) |
|---|---|---|
| Purpose | Medical imaging standard | General photo format |
| File Origin | Captured natively by imaging equipment (x-ray machines, ultrasound, and PACs systems) | Exported or converted manually |
| Image Quality | Full resolution + metadata | Compressed, may lose detail |
| Measurement Accuracy | Calibrated, real-world units (ex mm) | Only pixel values, not measurable |
| Manipulation Tools | Zoom, contrast, grayscale, annotations | Limited adjustments |
| Radiologist Preference | Required for diagnostic reads | Not suitable for interpretation |
| Workflow Integration | Seamless with PACs and teleradiology | Manual upload; not optimized |
| Legal/Medical Compliance | DICOM-compliant standards | Not compliant |
| YourViewDr Compatibility | Supported via Direct DICOM Send and manual upload | Uploadable, but discouraged |
JPEGs are designed for compact file sharing and basic viewing, not diagnostics.
When a JPEG is submitted:
Vital metadata is stripped, such as image scale and patient ID
Images may become compressed and degraded, reducing clarity
Measurements are invalid, showing only pixel values without conversion context
Image orientation may be lost, causing confusion or misdiagnosis
Here’s an example:
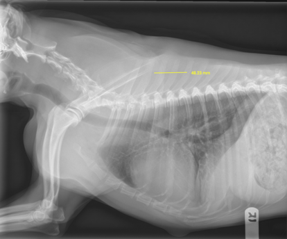
A DICOM file allows our radiologists to take a precise 48.23 mm measurement.
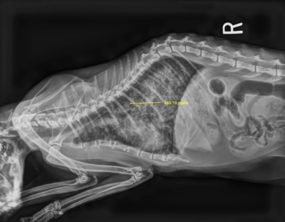
The same image in JPEG format might only show “263.19 pixels” which is a meaningless value for medical purposes.
For example, in a DICOM image, our radiologists can use tools to accurately measure structures like a 48.23 mm mass—directly within the system (example below)

In contrast, JPEGs strip out this data, leaving only the image itself. Measurements like “263.19 pixels” become medically meaningless because we can’t convert them into millimeters or centimeters without knowing the original scale (example below)

Veterinary teleradiology is only as strong as the images provided. Submitting cases in DICOM format empowers your radiology team to:
Make faster, more accurate diagnoses
Utilize measurement tools
Maintain medical compliance
Deliver higher-quality reports to support patient care
At SVS Imaging, we specialize in teleradiology, ultrasound training, and mobile sonography for veterinary hospitals across the country.
If you're looking for:
Reliable, fast turnaround times
Board-certified radiologists
Expert support with DICOM setup or case submissions
📩 Let us help. Fill out the form below and a team member will connect directly with you!
1 min read
Help Improve Your Technique and Obtain Optimal Radiographic Images Perfecting the art of veterinary radiographic positioning is crucial for obtaining...
1 min read
Emerging Trends in Veterinary Diagnostics In recent years, the demand for in-house veterinary diagnostics has led to general veterinary practices...
1 min read
How to Successfully Implement Ultrasound Into Your Veterinary Practice Ultrasound is one of the most powerful and versatile diagnostic tools in...